This chat will be led by @SWildmanPhysio – Stuart Wildman who is an Extended Scope Physiotherapist who has a special interest in the use of diagnostic MSK ultrasound.
The use of diagnostic MSK Ultrasound is rapidly increasing in many areas and professions working with patients with MSK complaints. A number of Physiotherapists in the NHS and private sector are utilising diagnostic ultrasound to enhance their clinical examination. The purpose of this chat is to discuss the benefits of its use, how to get involved and trained up to use it in your clinic and also to develop an understanding of the bigger picture of diagnostic MSK ultrasound and why I feel Physiotherapists are ideally placed to embrace this developing technology.
Stuart is a member of the executive committee of the Electrophysical Agents and Diagnostic Ultrasound CSP professional network who are developing the use of MSK Ultrasound in Physiotherapy in the UK. He has also developed an online free educational resource to promote the use of MSK Ultrasound in a clinical setting www.theultrasoundsite.co.uk.
Stuart hopes to cover a number of areas within the chat:
- The development and history of MSK Ultrasound in Physiotherapy..when did it all start?
- The big picture: The use of MSK Ultrasound in health services today..who is using it, what demand is there for it and what does the future look like.
- The clinical governance issues around its use in Physiotherapy
- How do Physiotherapists learn MSK Ultrasound? For more resources to read before the live chat click here
- Other opportunities that Physiotherapists can experience as a result of training to use MSK Ultrasound
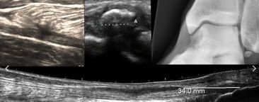
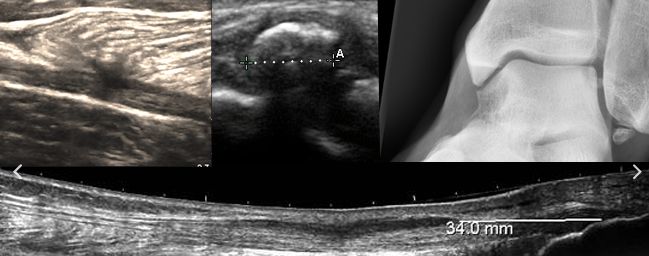
- The advantages and disadvantages of using ultrasound in MSK clinics..what can and can’t you visualise with ultrasound?
- Are Physiotherapists well placed to use and develop their skills in MSK Ultrasound?
- The role of ultrasound in guided peripheral joint injections
Post Chat information
Thanks to all who took part in this chat
![]()
![]()
![]()
![]()
![]()
![]()
![]()
![]()
![]()
![]()
![]()
![]()
![]()
![]()
![]()
![]()
![]()
![]()
![]()
![]()
![]()
![]()
![]()
The chat transcript can be found here
Stuart is an Extended Scope Physiotherapist working in the Locomotor service at The Homerton Hospital NHS Trust in London. He qualified from the University of Southampton in 2003 with a BSc Physiotherapy, and went on to gain an MSc in Advanced Neuromusculoskeletal Physiotherapy at The University of Hertfordshire. He is an active member of the executive committee of EPADU (Electrophysical Agents and Diagnostic Ultrasound) special interest group, helping develop the use of diagnostic ultrasound in Physiotherapy within the UK and also ACPOMIT (The Association for Chartered Physiotherapists with an interest in Orthopaedic Medicine and Injection Therapy). He is also a member of the well regarded MACP (The Musculoskeletal Association of Chartered Physiotherapists). Stuart has completed a PG Cert in Musculoskeletal (MSK) Ultrasound at Canterbury and Christ Church University, and uses diagnostic musculoskeletal ultrasound daily within his practice to enhance clinical decision making and also to assist with guided injections/aspirations. He developed www.theultrasoundsite.co.uk, a free access interactive learning forum for clinicians using MSK Ultrasound and also runs Introductory MSK Ultrasound and Ultrasound guided injection courses.

